FLEXIBLE SCHEDULING & FINANCING THAT FITS YOUR LIFESTYLE – BOOK NOW
FLEXIBLE SCHEDULING & FINANCING THAT FITS YOUR LIFESTYLE – BOOK NOW

Specialist Care From Your Personal Dentist

A safe space that respects you, your comfort, and your smile.

A Visit That Feels as Good as The Result

Noise-cancelling
Headphones
Personal TVs
Weighted Blankets
Oral Conscious
Sedation

Dr. Luis Peralta

I believe that great dentistry should change more than just your teeth, it should change the way you feel every day. Whether you’re dealing with pain, struggling to eat comfortably, or hoping to love your smile again, I take the time to understand what matters most to you and create a plan that supports your long-term health.
MEet  Dr. Peralta →

Our Special Offers

Why People Love Forward Dental Studio

Smile Gallery

Real Smiles, Real Transformations

Before
After

Treatment: All-on-X 

Severely worn and compromised dentition restored with a custom All-on-X prosthesis. Carefully designed occlusion, improved esthetics, and full-arch stability give the patient a functional, life like result. Precision planning, long-term durability.

Before
After

Treatment: All-on-X 

This patient couldn’t smile confidently or enjoy meals without discomfort. With a custom All-on-X solution, we rebuilt his entire smile — giving him back comfort, confidence, and everyday ease. We are grateful to create results that change lives.

Before
After

Treatment: veneers

We corrected spacing, discoloration, and uneven edges using finely layered veneers. Each one was crafted to complement her facial features and natural tooth shape. A subtle, long-lasting enhancement that feels like her, only brighter.

Before
After

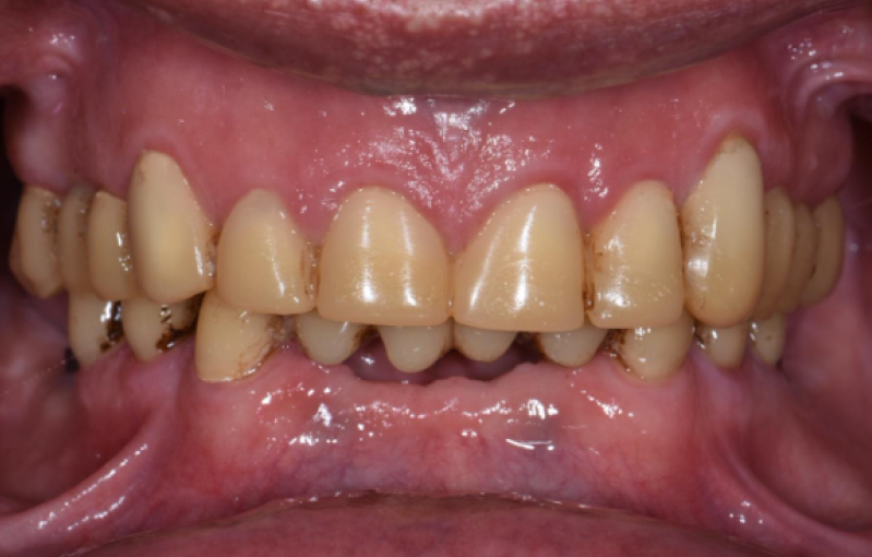
Treatment: Dental Implants

Presented with severe wear, discoloration, and compromised tooth structure, this case required a comprehensive full-mouth rehabilitation. Using a combination of dental implants and conservatively restored natural teeth, we re-established proper function, occlusion, and esthetics. The final result delivers long-term stability with a natural, harmonious appearance.

Before
After

Treatment: Dentures

This patient came in with an old set of dentures that no longer fit well or looked natural. We designed a new custom set that improved the fit, stability, and esthetics—giving him a smile that feels comfortable and confident again. Small details make a big difference when dentures are built for your face and bite.

Before
After

Treatment: snap-on dentures

This patient lived with unstable, worn teeth that made smiling and eating a daily challenge. With implant snap-on dentures, we restored stability, comfort, and confidence while creating a beautiful new smile. The denture securely snaps into place, allowing her to laugh, talk, and eat without worry. A truly life-changing upgrade.

Proudly Serving Chicago

Monday
9AM - 5PM
Tuesday
9AM - 5PM
Wednesday
9AM - 5PM
Thursday
9AM - 5PM
Friday
9AM - 5PM
Saturday
9AM - 2PM
Sunday
Closed
Monday
9AM - 5PM
Tuesday
9AM - 5PM
Wednesday
9AM - 5PM
Thursday
9AM - 5PM
Friday
9AM - 5PM
Saturday
9AM - 2PM
Sunday
Closed

Where Quality Meets Comfort

Financing Options

Affordable plans make it easy to get the care you need.

Entertainment
Options

Enjoy Netflix and TVs in patient rooms for a stress-free visit.

Relaxing
Amenities

Relax with blankets, pillows, and soothing massage chairs.

Convenient Scheduling

We offer Saturday appointments and same-day emergency care.

We Work With Most Insurances

Thank you! Your submission has been received!
Oops! Something went wrong while submitting the form.
United Healthcare
TRICARE Dental Program (TDP)
United Healthcare Global (Inside U.S.)
United Healthcare Community Plan
United Concordia - Tricare Dental Plan
United Concordia - Federal Employees Program
UFT Welfare Fund
United Concordia (Encounters)
United Concordia - Dental Plus - PA Blue Shield
UniCare
United Concordia Companies, Inc.
Trigon - Blue Cross/Blue Shield of Virginia
Trigon - Blue Cross/Blue Shield of Colorado
Tricare Retiree Dental Program
Tricare Active Reservists
Standard Insurance Co. of New York
Sun Life Financial (United Concordia)
Skygen USA
Standard Insurance
SelectHealth
Securian/Patriot Dental
Securian Dental
Reliance Standard Life
Regence Blue Cross/Blue Shield of Oregon (out of State Providers)
Public Employee Health Program (PEHP)
Principal
PrimeWest
PrimeCare, Wisconsin State and Federal Employees and Medicaid
Physicians Mutual (Dental)
Oklahoma DRS Doc
Phoenix Health Plans (DentaQuest)
Medicaid of Wisconsin - DentaQuest
Molina
North Dakota Dental Service
Minnesota Blue Cross Dental (UCCI)
MetLife
Medicaid of Wisconsin, PrimeCare
Medicaid of Wisconsin, Humana / TDC
Medicaid of Washington
Medicaid of Virginia, HealthKeepers Plus
Medicaid of Texas - DentaQuest
Medicaid of Utah
Medicaid of Texas - MCNA
Medicaid of Tennessee, BlueCare
Medicaid of New York
Medicaid of Minnesota
Medicaid of Indiana
Medicaid of Michigan
Medicaid of Connecticut
Medicaid of Alabama
HealthScope Benefits
Level
Managed DentalGuard
Managed Care of North America, Inc. (MCNA)
International Brotherhood of Electrical Workers (IBEW), Local 38 Health & Welfare Fund
Indiana/Kentucky/Ohio Regional Council of Carpenters Welfare Fund
Humana Specialty Benefits State of Florida Dental
Humana Specialty Benefits Florida Healthy Kids Dental
Humana
Humana CompBenefits Federal Plan Dental
Hershey Healthsmile
Healthsource Provident
HealthScope Benefits (Tribute Health Plan)
HealthScope Benefits/ Morris Associates
HealthScope Benefits / EHC Repricing
HealthScope Benefits/ACPMO
HealthChoice Oklahoma
Healthcare Highways
HDS Medicaid
Hawaii Dental Service
Guardian Life Insurance Co. of America
Golden West Dental
Florida Combined Life (Dental)
First Reliance Standard
Empire Blue Cross/Blue Shield
Direct Dental Administrators, Inc.
Dental Guard Preferred
Deseret Mutual Benefit Administrators
DentaQuest - Government
DeltaCare USA - Encounters
Delta Dental - Tricare Retiree
Delta Dental of West Virginia
Delta Dental of Washington DC
Delta Dental of Virginia
Delta Dental of Washington
Delta Dental of Rhode Island
Delta Dental of Tennessee
Delta Dental of South Carolina
Delta Dental of Puerto Rico
Delta Dental of Pennsylvania
Delta Dental of Oklahoma
Delta Dental of Ohio
Delta Dental of North Dakota
Delta Dental of North Carolina
Delta Dental of Minnesota
Delta Dental of New York
Delta Dental of New Jersey
Delta Dental of New Mexico
Delta Dental of Nebraska
Delta Dental of Missouri
No items found.

Take A Look In Our Office

Connect with Us

Directions
Book
Call us